A dental bridge is a treatment designed to replace one missing tooth or multiple missing teeth. Dental bridges can be used to replace up to six missing teeth, and a bridge may be your best financial option to achieve a natural look rather than having expensive implants. In terms of affordability, bridges sit somewhere between removable dentures and implants.
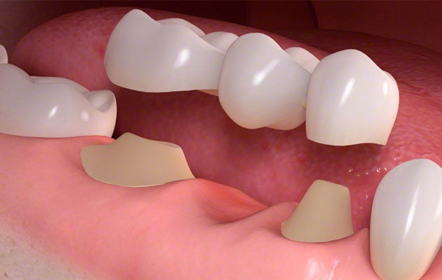
A dental bridge is made up of two crowns on either side of the missing tooth connected to an artificial tooth, called a pontic, in the middle. These three “teeth” form the bridge that is matched to the colour of the other teeth and then cemented into place to provide a permanent solution to your missing tooth dilemma.
There are many reasons why adult teeth can be lost, including accidental trauma, infection or poor gum health. Replacing missing teeth is beneficial for both functional and aesthetic reasons.
The Procedure
Firstly, the dentist must examine your teeth and gum to determine whether a dental bridge is appropriate for your situation. If you are a good candidate for a bridge, the teeth that are on either side of the missing tooth – the ones that will provide the “anchors” for the bridge – will be prepped for crowns.
Secondly, an impression will be taken to ensure the bridge will fill the gap and blend perfectly with your existing teeth. That impression will be sent to a laboratory for them to create the final bridge. The first visit ends with the insertion of a temporary bridge to protect the area until the permanent bridge is ready.
Thirdly, at your third and final visit – which usually occurs two weeks later – the permanent bridge will be cemented into place. Before permanently securing the bridge, your dentist will test the placement to ensure that you feel comfortable with the result. If you take care to practice good oral hygiene and maintain your proper dental cleaning and examination schedule, your new bridge should last for years to come, providing you with a winning smile and a gigantic confidence boost.
